Nos gustaría enviarte notificaciones. Puedes desactivarlas cuando desees
domingo, mayo 24, 2026
  • México
  • Tendencias
  • Mundo
  • Videos
  • Opinión
Sin resultados
Ver todos los resultados
  • México
  • Tendencias
  • Mundo
  • Videos
  • Opinión
Sin resultados
Ver todos los resultados
Sin resultados
Ver todos los resultados

Estudio revela el daño que causa la Covid-19 en pulmones de niños

May 11, 2020 9:54
Comparte en FacebookComparte en TwitterComparte en WhatsApp

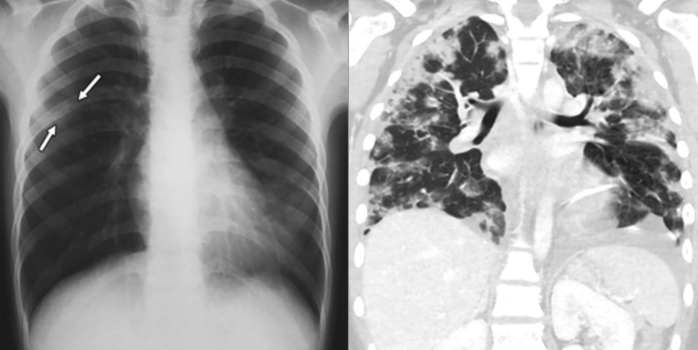
Las imágenes muestran una inflamación generalizada en estos órganos

Los especialistas compararon el daño provocado por la Covid-19 con otras enfermedades respiratorias como el coronavirus SARS y MERS, así como la gripe H1N1 y EVALI.

La radióloga Alexandra Foust y un equipo de médicos del hospital infantil de Boston, EU, analizó diversas tomografías de casos pediátricos del covid-19 para revelar las características más comunes de la condición.

De acuerdo con los Centros para el Control y Prevención de Enfermedades del país, el 1.7 por ciento de los casos del nuevo coronavirus se ha detectado en pacientes menores de 18 años, por lo que se conoce muy poco sobre sus efectos sobre la salud de los niños.

Para ellos decidieron comparar el daño provocado por el Covid-19 en los pulmones de niños con otras enfermedades respiratorias, entre ellas el coronavirus SARS y MERS, así como la gripe H1N1 y EVALI.

En los resultados se puede observar que casi dos tercios de los 20 niños menores de 14 años con Covid-19 detectados en Wuhan, China, presentaban opacidad en vidrio esmerilado, un indicativo de que existe una inflamación generalizada, destacó RT.

Anuncio

Además, la mitad de los pacientes mostraban una condición conocida como “el signo del halo”, que hace que la inflamación rodee una masa conocida como consolidación, la cual dificulta la respiración debido a la presencia en los alvéolos pulmonares de sustancias como líquido o infección. La consolidación es un síntoma de neumonía y puede causar problemas respiratorios porque el aire inhalado no puede atravesar la masa obstructora.

“Aunque los síntomas clínicos de la neumonía por SARS, H1N1, MERS, EVALI y Covid-19 en pacientes pediátricos pueden ser inespecíficos, algunos hallazgos de imagen característicos han surgido o están surgiendo actualmente. Es esencial que los radiólogos comprendan claramente las características de imagen de estos trastornos pulmonares en pacientes pediátricos para garantizar una atención óptima del paciente”, detalló el estudio publicado en la revista American Journal of Roentgenology. 

CompartirTweetEnviar
Anuncio
Nota anterior

Asesinan a pareja de DJs en Veracruz durante transmisión por Facebook

Siguiente nota

Crean camas hospitalarias de cartón que se convierten en ataúdes

Siguiente nota

Crean camas hospitalarias de cartón que se convierten en ataúdes

Sé parte de la conversación

Anuncio

Nuestras publicaciones más recientes

Mexicali Turismo: Guía Cultural y Gastronómica de la Frontera

1 semana de publicada

Descubre Mexicali, capital de Baja California. Ciudad fronteriza con cultura única, cervezas artesanales y gastronomía fusión. Explora parques, museos y...

Leer más

Aprovecha los ventiladores en oferta este Hot Sale 2026

3 semanas de publicada

El Hot Sale 2026 se llevará a cabo del 26 de mayo al 3 de junio, convirtiéndose en la oportunidad...

Leer más

Simulador pensión Ley 97: planea tu retiro con certeza

3 semanas de publicada

Cuando te preguntas si tu pensión será suficiente al retirarte, entender el simulador pensión Ley 97 se convierte en una...

Leer más

También te podría interesar

Cómo reducir devoluciones con ticket impreso en tu operación de entregas

1 mes de publicada

Cuando realizas cobros contra entrega, cada transacción sin comprobante físico es un riesgo latente. Un cliente que afirma no haber...

Leer más

Pasos para solicitar tarjeta de crédito online

1 mes de publicada

Solicitar tarjeta de crédito online es un proceso rápido y accesible, gracias a la digitalización que permite realizar todo el...

Leer más

Pasos para solicitar tarjeta de crédito online

2 meses de publicada

Solicitar tarjeta de crédito online es un proceso rápido y accesible, gracias a la digitalización que permite realizar todo el...

Leer más

Santa María del Oro, un rincón natural en Nayarit

2 meses de publicada

Hay destinos que parecen guardarse para quienes disfrutan desviarse un poco del camino principal. Lugares donde el paisaje se mueve...

Leer más
Anuncio

Mientras Tanto en México 2020

Sigue navegando

  • México
  • Tendencias
  • Mundo
  • Videos
  • Opinión

Siguenos

Sin resultados
Ver todos los resultados
  • México
  • Tendencias
  • Mundo
  • Videos
  • Opinión

Mientras Tanto en México 2020