Nos gustaría enviarte notificaciones. Puedes desactivarlas cuando desees
sábado, mayo 9, 2026
  • México
  • Tendencias
  • Mundo
  • Videos
  • Opinión
Sin resultados
Ver todos los resultados
  • México
  • Tendencias
  • Mundo
  • Videos
  • Opinión
Sin resultados
Ver todos los resultados
Sin resultados
Ver todos los resultados

Una joven vivió 17 años con su gemelo dentro de su cuerpo sin saberlo

Ago 18, 2019 8:07
Comparte en FacebookComparte en TwitterComparte en WhatsApp

 

A esta rara anomalía se le llama ‘fetus in fetu’ y se detecta en su mayoría en niños

Los médicos extirparon a un feto malformado que tenía cabello y algunos dientes 

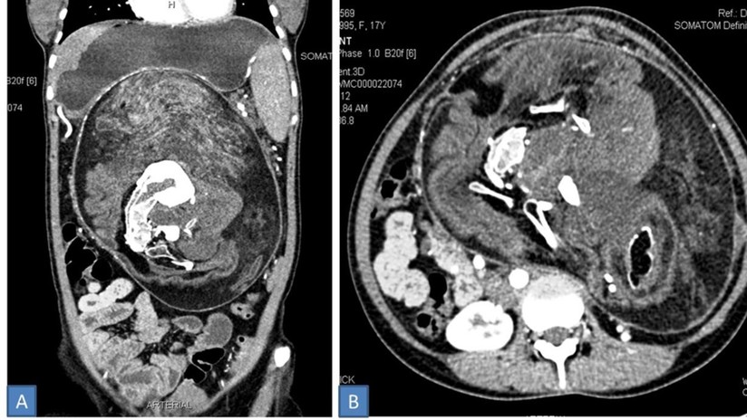
Una joven de 17 años vivió con un ‘hermano gemelo’ que se encontraba dentro de su cuerpo sin saberlo, a este fenómeno se le llama ‘fetus in fetu’ (FIF) el cual se produce debido a una “rara anomalía del desarrollo en la que un feto malformado se halla dentro del cuerpo de otro gemelo“, compartió el sitio Actualidad RT.

Anuncio

De acuerdo con el informe médico, la adolescente, de quién no se reveló su identidad, desarrolló un tumor durante 5 años, este “aumentó de tamaño gradualmente”, lo que le generaba a la joven dolores de abdomen. Incluso ella comentaba que se sentía saciada cuando ingería poca cantidad de comida, sin embargo los médicos no observaron en ella una significativa reducción de peso.

Mediante una tomografía computarizada con contraste descubrieron “una masa bien definida” dentro de su abdomen, mismo que contaba con elementos de tejido adiposo y secciones de formaciones semejantes a huesos.

Con base en los datos obtenidos durante los exámenes, los especialistas diagnosticaron un caso de ‘fetus in fetu’ y decidieron extraerlo quirúrgicamente, el cuerpo “del intruso” medía 30×16×10 centímetros e incluso tenía cabello y “múltiples dientes”. Los médicos explicaron que fenómenos similares ocurren en uno de cada millón de nacimientos y que existen menos de 200 casos registrados.

Según la publicación de BMJ Case Reports, se trata de una “condición extremadamente rara” que se detecta en su mayoría en niños, y este caso en particular es el primer ‘fetus in fetu’ registrado en el organismo de una mujer casi adulta, mientras que solo se conocen otros 7 casos similares observados en personas de más que 15 años de edad.

“Mi abdomen es ahora plano y mis padres también están muy felices”, dijo la joven luego de la operación.

CompartirTweetEnviar
Anuncio
Nota anterior

Conductor abandona un Lamborghini tras choque en la colonia Roma Sur

Siguiente nota

Padre de joven desaparecida se une a la brillantada de Ciudad Juárez

Siguiente nota

Padre de joven desaparecida se une a la brillantada de Ciudad Juárez

Sé parte de la conversación

Anuncio

Nuestras publicaciones más recientes

Aprovecha los ventiladores en oferta este Hot Sale 2026

5 días de publicada

El Hot Sale 2026 se llevará a cabo del 26 de mayo al 3 de junio, convirtiéndose en la oportunidad...

Leer más

Simulador pensión Ley 97: planea tu retiro con certeza

5 días de publicada

Cuando te preguntas si tu pensión será suficiente al retirarte, entender el simulador pensión Ley 97 se convierte en una...

Leer más

Cómo reducir devoluciones con ticket impreso en tu operación de entregas

2 semanas de publicada

Cuando realizas cobros contra entrega, cada transacción sin comprobante físico es un riesgo latente. Un cliente que afirma no haber...

Leer más

También te podría interesar

Pasos para solicitar tarjeta de crédito online

2 semanas de publicada

Solicitar tarjeta de crédito online es un proceso rápido y accesible, gracias a la digitalización que permite realizar todo el...

Leer más

Pasos para solicitar tarjeta de crédito online

1 mes de publicada

Solicitar tarjeta de crédito online es un proceso rápido y accesible, gracias a la digitalización que permite realizar todo el...

Leer más

Santa María del Oro, un rincón natural en Nayarit

2 meses de publicada

Hay destinos que parecen guardarse para quienes disfrutan desviarse un poco del camino principal. Lugares donde el paisaje se mueve...

Leer más

Mochilas para niñas: descubre cómo elegir la opción ideal para tu hija

2 meses de publicada

Elegir las mochilas para niñas adecuadas implica considerar aspectos como comodidad, capacidad y diseño. Este accesorio, además de ayudar a...

Leer más
Anuncio

Mientras Tanto en México 2020

Sigue navegando

  • México
  • Tendencias
  • Mundo
  • Videos
  • Opinión

Siguenos

Sin resultados
Ver todos los resultados
  • México
  • Tendencias
  • Mundo
  • Videos
  • Opinión

Mientras Tanto en México 2020